

Dr. Vijay Singh Patel-BDS
Expertise in laser dentistry, implants, orthodontics, and micro endodontics
Dr. Vijay Singh Patel – BDS
Dental Surgeon | Implantologist | Laser Dentistry Specialist
Dr. Vijay Singh Patel is an experienced dental surgeon providing advanced and patient-friendly dental care at Advanced Dental and Laser Clinic, Gadarwara.
Education
BDS – New Horizon Dental College and Research Institute (2012)
PG Diploma in Laser Dentistry – Sharad Pawar Dental College, Wardha (2013)
Fellowship in Implant Dentistry – Sharad Pawar Dental College, Wardha (2014)
PG Diploma in Orthodontics – Center of Clinical Orthodontics and Dentofacial Orthopedics, Nagpur (2022)
Experience & Expertise
• 12+ years of clinical experience
• 3500+ successful root canal treatments
• Expertise in Dental Implants, Braces, Smile Designing, Laser Dentistry, and Cosmetic Dentistry
• Treated thousands of satisfied patients in Gadarwara and Narsinghpur region
Dr. Patel focuses on delivering modern, precise, and comfortable dental treatments using advanced technology and personalized patient care.
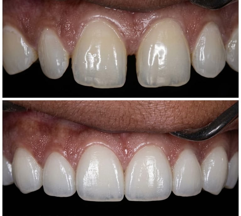
Our Smiles
Snapshots of happy patients and their transformed smiles.












Dr. Patel’s care made my braces journey comfortable and the results truly transformed my smile.
Anya M.
★★★★★
Contact
Reach us anytime for your dental needs.
Phone
+91 9754135666
© 2026. All rights reserved.
